Variedades
Esperanza para la diabetes: Células CRISPR bombean insulina
Investigadores informan que han implantado células de páncreas editadas por CRISPR en una persona con diabetes tipo 1 y descubren que las células bombearon insulina reguladora del azúcar durante meses sin necesidad de que el receptor tomara medicamentos para laminación inmune, gracias a las ediciones genéticas que permitieron que las células, recogidas de un donante fallecido, evadieran la detección por el sistema inmunitario receptor.
El estudio genera esperanzas de una cura duradera para una enfermedad autoinmune que consigne a millones de personas a una vida de estricta monitoreo y dependencia de la insulina inyectada. Los datos preliminares definitivamente han levantado los ánimos de nuestra comunidad y es un enfoque realmente elegante, dice Aaron Kowalski, director ejecutivo de Breakthrough T1D, una organización sin fines de lucro en la ciudad de Nueva York antes conocida como JDRF.
El objetivo final es aplicar las ediciones de genes de la inmuno-eclosión a las células madre y luego dirigir su desarrollo en células de islotes que segregan insulina. Los islotes sin editar hechos de células madre ya han mostrado promesa para tratar la diabetes tipo 1 en un ensayo pequeño, según los resultados publicados el 22 de junio.
Pero algunos grupos de investigación independientes no han confirmado que el método de Sana confiere habilidades de escudo inmunológico a las células editadas. Y el estudio involucró solo a una persona que recibió una dosis baja de células por poco tiempo, no lo suficiente para lograr la independencia de la insulina, por lo que la eficacia clínica sigue sin probarse, dice endocrinólogo molecular de la Universidad de Columbia Británica en Vancouver, Canadá, Tim Kieffer.
Soluciones de células madre
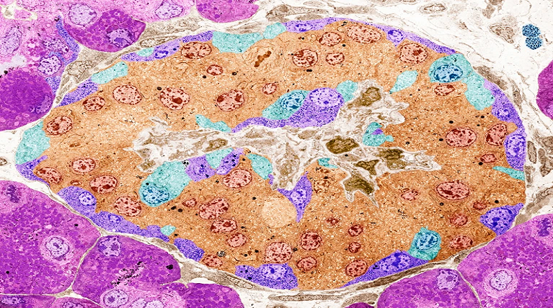
Actualmente, la única manera de que alguien con diabetes tipo 1 evite la dependencia de la insulina inyectada es a través del trasplante de células islotes cadavéricas. El procedimiento puede restaurar la producción de insulina durante años, pero rara vez se realiza con la escasez de páncreas de donantes y la necesidad de terapia farmacológica inmunosupresora de por vida, que conlleva riesgos de infección, cáncer y otros efectos secundarios graves. La insulina inmota previene las altas diabéticas y los bajos mortales
Para hacer frente a la escasez de donantes, algunas empresas han recurrido a tecnologías de células madre para generar suministros ilimitados de islotes de reemplazo en el laboratorio. El vértice está más lejos. Según informó en junio, la empresa trasplantó islotes embrionarios derivados de células madre en 12 personas con diabetes tipo 1. Después de un año, diez participantes ya no requirieron inyecciones de insulina 22. La compañía planea buscar la aprobación regulatoria para esta terapia celular el próximo año.
La estrategia de pretender eludir la necesidad de esas drogas por completo. Científicos de la compañía comenzaron con islotes de un donante fallecido que no tenía diabetes. Utilizando el sistema de edición de genes CRISPR, los investigadores desactivaron dos genes que normalmente ayudan a abanderar a los invasores extranjeros a las células T, el defensor de primera línea del sistema inmunitario. Luego usaron un virus para transportar instrucciones genéticas para una proteína llamada CD47 en las células. Esta proteína sirve como una señal protectora de no invitarme. Que evita que los vigilantes inmunológicos, conocidos como células asesinas naturales, ataquen las células editadas.
Nature
